|
|
进展 | JACC子刊:一文看懂房颤如何进展,以及导管消融在延缓病程中的关键角色 心在线 · 公众号 · · 3 月前 · |
|
|
病例 | 25岁STEMI患者急诊开通RCA未植支架,药物球囊效果显著:无植入策略正在影响年轻ACS... 心在线 · 公众号 · · 3 月前 · |
|
|
CDQI 名家面对面 | 原发性甲状旁腺功能亢进致扩张型心肌病 心在线 · 公众号 · · 3 月前 · |
|
|
进展 | JACC:心衰患者做份问卷就能预测住院与死亡风险?KCCQ-12评分竟优于NT-proBN... 心在线 · 公众号 · · 3 月前 · |
|
|
病例 | 高危孕妇重度钙化性二尖瓣狭窄,拒绝终止妊娠且不宜外科手术,介入团队如何破局? 心在线 · 公众号 · · 3 月前 · |
|
|
CDQI 名家面对面 | 一例顽固性低血钾患者的诊治体会 心在线 · 公众号 · · 3 月前 · |
|
|
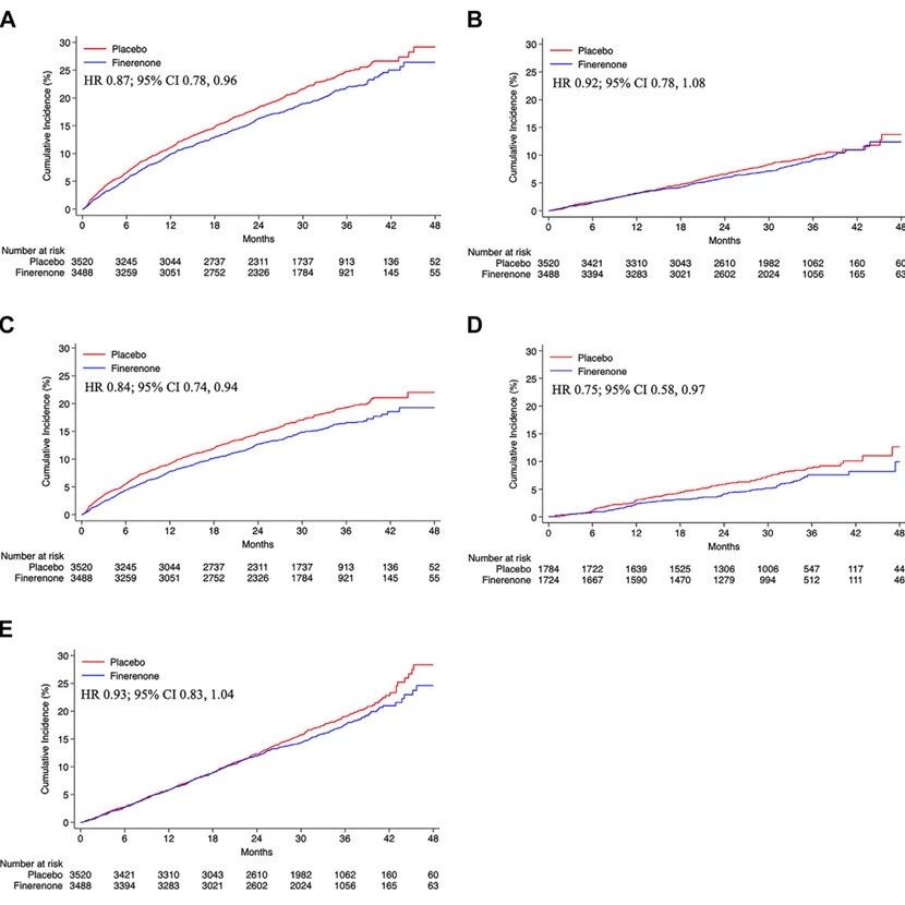
进展 | JACC子刊:HFmrEF/HFpEF合并CKD和糖尿病:非奈利酮在"心-肾-代谢"共病人... 心在线 · 公众号 · · 3 月前 · |
|
|
进展 | Circulation:超声心动图左心室充盈压评估新算法,显著提升诊断可行性与HFpEF识... 心在线 · 公众号 · · 3 月前 · |
|
|
病例 | 心梗后巨大室间隔穿孔,封堵后分流仍然不止、反复溶血!手术风险高、常规再封堵困难,如何补救? 心在线 · 公众号 · · 3 月前 · |
|
|
CDQI 名家面对面 | 花季少女遭遇隐形杀手-大动脉炎合并心衰 心在线 · 公众号 · · 3 月前 · |
|
|
病例 | 中年男性胸痛+肌钙蛋白升高+造影无斑块,竟是多支SCAD!男性中罕见,你会如何追问病因? 心在线 · 公众号 · · 3 月前 · |
|
|
进展 | Eur Heart J:精英耐力运动员的“心”隐忧:最新研究揭示退役后房颤风险激增近7倍,... 心在线 · 公众号 · · 3 月前 · |
|
|
CDQI 名家面对面 | 嗜酸性粒细胞增多合并心肌损伤疑难病例讨论 心在线 · 公众号 · · 3 月前 · |
|
|
进展 | JAMA子刊:合并房颤会削弱非奈利酮对HFmrEF/HFpEF患者的疗效吗?FINEART... 心在线 · 公众号 · · 3 月前 · |