|
|
魔幻!卖到1000 多的蓝牙耳机,竟然有几万人反馈:物超所值,太好用了…… 海上柳叶刀 · 公众号 · · 1 月前 · |
|
|
为什么说HPV防控绝不只是女性「独角戏」?这三种癌症均由男性感染者主导! 海上柳叶刀 · 公众号 · · 1 月前 · |
|
|
北上广的年轻人,悄悄捧红了这双「百元专业跑鞋」!膝盖真不疼 海上柳叶刀 · 公众号 · · 1 月前 · |
|
|
中国聋人“消失”的故事,不仅仅是一部医学史 | 爱耳日旧文重读 海上柳叶刀 · 公众号 · · 1 月前 · |
|
|
为什么手腕戴珍珠的女人总能赢在通勤镜头里? 海上柳叶刀 · 公众号 · · 1 月前 · |
|
|
腰痛半天+持续性腹痛1小时 | 凌晨4点看急诊,两次手术捡回一条命! 海上柳叶刀 · 公众号 · · 1 月前 · |
|
|
开春的百搭之王来了!舒适显瘦不挑人,1件穿3季,才两位数入~ 海上柳叶刀 · 公众号 · · 1 月前 · |
|
|
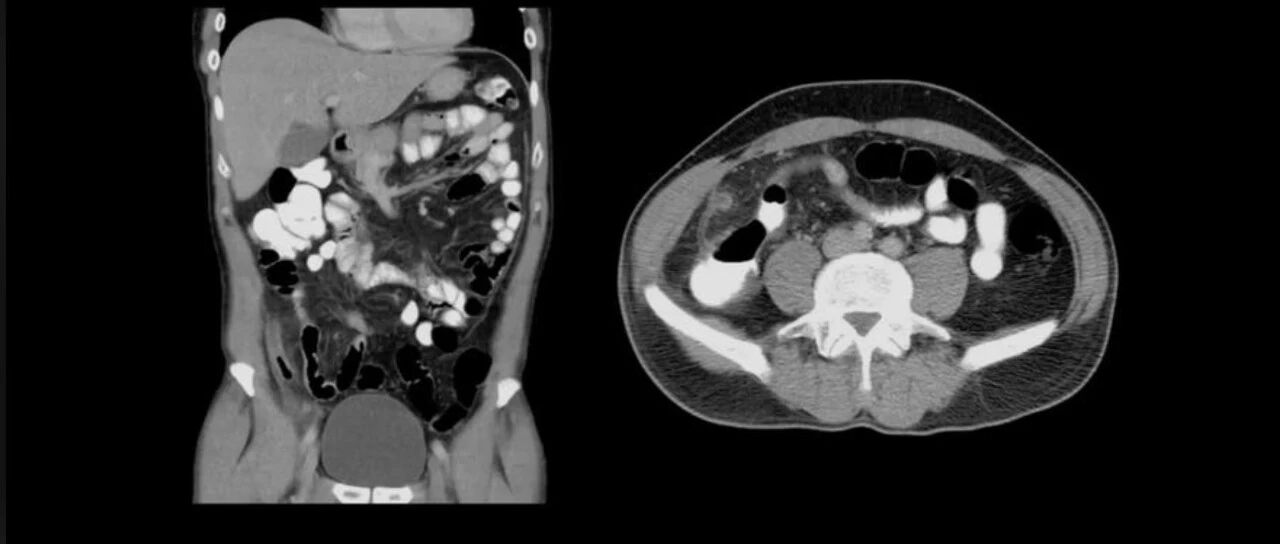
阑尾竟然也会癌变?!虽罕见,但已呈上升趋势 海上柳叶刀 · 公众号 · · 1 月前 · |
|
|
“脆皮打工人”,请爱护你的颈椎 海上柳叶刀 · 公众号 · · 1 月前 · |
|
|
正月初七,一天两起!刚下车就倒地,意识丧失心跳骤停,现在还在ICU! 海上柳叶刀 · 公众号 · · 1 月前 · |
|
|
“笑一笑,十年少”,可我不敢笑啊 海上柳叶刀 · 公众号 · · 1 月前 · |
|
|
当主刀医生说"来颗花生米" | 手术室"黑话"解码 海上柳叶刀 · 公众号 · · 1 月前 · |
|
|
灵魂拷问:你知道你为什么会掉发吗? 海上柳叶刀 · 公众号 · · 1 月前 · |
|
|
头部平台+待遇丰厚!上海这家顶级医院公开招聘科主任,岗位超多~~~ 海上柳叶刀 · 公众号 · · 2 月前 · |
|
|
新疆人嘴真严!有这么好喝的葡萄酒,竟然不宣传! 海上柳叶刀 · 公众号 · · 2 月前 · |
|
|
无意间摸到肛门口不明肿块,肠镜做下来息肉竟超过1000枚,关键终身癌变风险近100%! 海上柳叶刀 · 公众号 · · 2 月前 · |
|
|
我真的找不出第二条比它更好穿的裤子了! 海上柳叶刀 · 公众号 · · 2 月前 · |
|
|
这位患者的主动脉瘤最大直径已达64毫米,血管壁如同吹爆的气球,随时破裂大出血 海上柳叶刀 · 公众号 · · 2 月前 · |
|
|
"中国纳米天团"默默研发护眼20年,一觉醒来眼睛变明亮了 海上柳叶刀 · 公众号 · · 2 月前 · |
|
|
这位上海专家连续6年站上全球顶尖手术演示舞台,被誉为"带电作业式"外科艺术 海上柳叶刀 · 公众号 · · 2 月前 · |