专栏 RSS订阅(公众号)
温馨提示:订阅专栏后它将会自动更新,无人订阅的专栏有可能不会更新。
专栏 二维码
TodayRss-海外RSS稳定源
他们也喜欢这个专栏
 • 
RSS订阅
今天看啥  ›  专栏  ›  生命科学技术摘集
生命科学技术摘集【生科摘集】整理生命科学实验室常用实验技术等protocol,基本都是本实验室使用过或者正在使用的方法,全文均可复制。同时欢迎广大生命科学战友+V小编(BioChenTech)进行投稿,共建生命科学技术的工具公众号。
免责声明:本专栏仅为信息导航参考,不代表原文立场或观点。 原专栏内容版权归原作者所有,如您为原作者并希望删除该专栏,请通过 【版权申诉通道】联系我们处理。
开通 RSS极速订阅 可分钟级获得文章
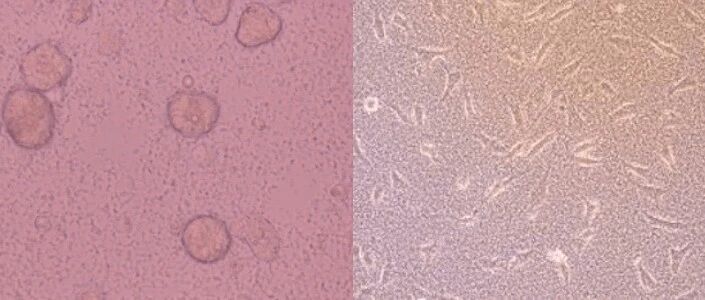
细胞培养污染鉴别与处理方法
生命科学技术摘集  ·  公众号  ·  ·  8 月前  · 
Western Blot实验避坑指南!从“翻车”到“封神”的终极攻略!
生命科学技术摘集  ·  公众号  ·  ·  8 月前  · 
荧光定量-相对定量-绝对定量-计算
生命科学技术摘集  ·  公众号  ·  ·  8 月前  · 
蛋白质和酶的3个保存技巧,再不知道你的样本就废了!
生命科学技术摘集  ·  公众号  ·  ·  8 月前  · 
医学sci一直投不中?医学无忧发表服务来了!学术大牛全程托管,承诺6个月中刊!
生命科学技术摘集  ·  公众号  ·  ·  8 月前  · 
SCI投稿一直投不中?保姆级全程投稿服务来了!同领域期刊审稿人全程助力直至中刊!
生命科学技术摘集  ·  公众号  ·  ·  8 月前  · 
细胞实验最烦的一步!你知道怎么「细胞给药」?
生命科学技术摘集  ·  公众号  ·  ·  8 月前  · 
速度收藏:无需超离且简捷的AAV包装详细protocal!
生命科学技术摘集  ·  公众号  ·  ·  8 月前  · 
专题汇总|如何做好引物设计
生命科学技术摘集  ·  公众号  ·  ·  9 月前  · 
实测市面上18家润色机构,论文润色,中刊率最高的是这家!
生命科学技术摘集  ·  公众号  ·  ·  9 月前  · 
【秘籍干货】酶工程大拿分享的96孔板筛选酶突变库的流程详解
生命科学技术摘集  ·  公众号  ·  ·  9 月前  · 
1v1论文辅导!985/211专业对口导师手把手辅导!
生命科学技术摘集  ·  公众号  ·  ·  9 月前  · 
诺奖得主David Baker最新Science论文:生命科学领域再迎新突破!
生命科学技术摘集  ·  公众号  ·  ·  9 月前  · 
细胞毒实验:药物浓度梯度配置
生命科学技术摘集  ·  公众号  ·  ·  9 月前  ·