|
最新!三甲医院检验科常见 300 个检测项目与临床意义(19 张表) 丁香园检验时间 · 公众号 · · 1 年前 · |
|
接近 100% 的死亡率!少年野外池塘游泳感染了这种病原体 丁香园检验时间 · 公众号 · · 1 年前 · |
|
卫健委再发文下调检验项目价格!这类检验项目真的没有「技术劳务价值」吗? 丁香园检验时间 · 公众号 · · 1 年前 · |
|
OGTT 服用 75g 葡萄糖,主任说大错特错 丁香园检验时间 · 公众号 · · 1 年前 · |
|
尿蛋白阴性,肾小管上皮细胞管型阳性? 丁香园检验时间 · 公众号 · · 1 年前 · |
|
PCT 狂飙,CRP 和 IL6 却正常,把书翻烂才找到这个原因 丁香园检验时间 · 公众号 · · 1 年前 · |
|
2024 卫生资格纸质证书官宣发放!部分地区今年不发 丁香园检验时间 · 公众号 · · 1 年前 · |
|
评价肝功能只知道肝酶?别忘了铜蓝蛋白的这 5 点临床应用 丁香园检验时间 · 公众号 · · 1 年前 · |
|
为什么要做性能验证? 丁香园检验时间 · 公众号 · · 1 年前 · |
|
血肌酐比正常高一点,肾脏就有问题了? 丁香园检验时间 · 公众号 · · 1 年前 · |
|
患者在我院化验 3 次结果超标,去大三甲化验竟然正常,愤怒向我院索赔! 丁香园检验时间 · 公众号 · · 1 年前 · |
|
常见形态学危急值,一文汇总 丁香园检验时间 · 公众号 · · 1 年前 · |
|
劝大家少用 AI 做科研…… 丁香园检验时间 · 公众号 · · 1 年前 · |
|
曾经年入过亿,如今近乎腰斩,有医院想取消检验科 丁香园检验时间 · 公众号 · · 1 年前 · |
|
TORCH 筛查结果怎么看?这篇帮你总结全了 丁香园检验时间 · 公众号 · · 1 年前 · |
|
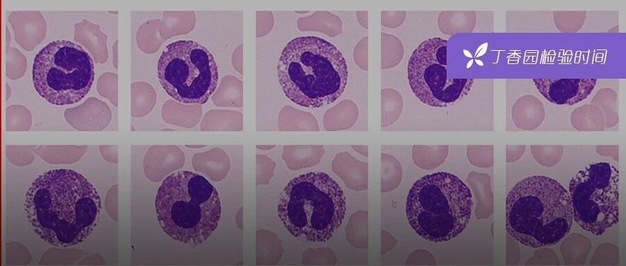
使用升白针后,外周血细胞形态「变形记」! 丁香园检验时间 · 公众号 · · 1 年前 · |
|
漫画解读 HCG、孕酮,这下彻底记住了 丁香园检验时间 · 公众号 · · 1 年前 · |