专栏 RSS订阅(公众号)
温馨提示:订阅专栏后它将会自动更新,无人订阅的专栏有可能不会更新。
专栏 二维码
TodayRss-海外RSS-老用户7折
他们也喜欢这个专栏
 • 
RSS订阅
今天看啥  ›  专栏  ›  丁香园肿瘤时间
肿瘤时间是丁香园旗下的专业平台,这里有医生同仁分享经验、解读指南、追踪前沿,是肿瘤医生的充电时间。
免责声明:本专栏仅为信息导航参考,不代表原文立场或观点。 原专栏内容版权归原作者所有,如您为原作者并希望删除该专栏,请通过 【版权申诉通道】联系我们处理。
开通 RSS极速订阅 可分钟级获得文章
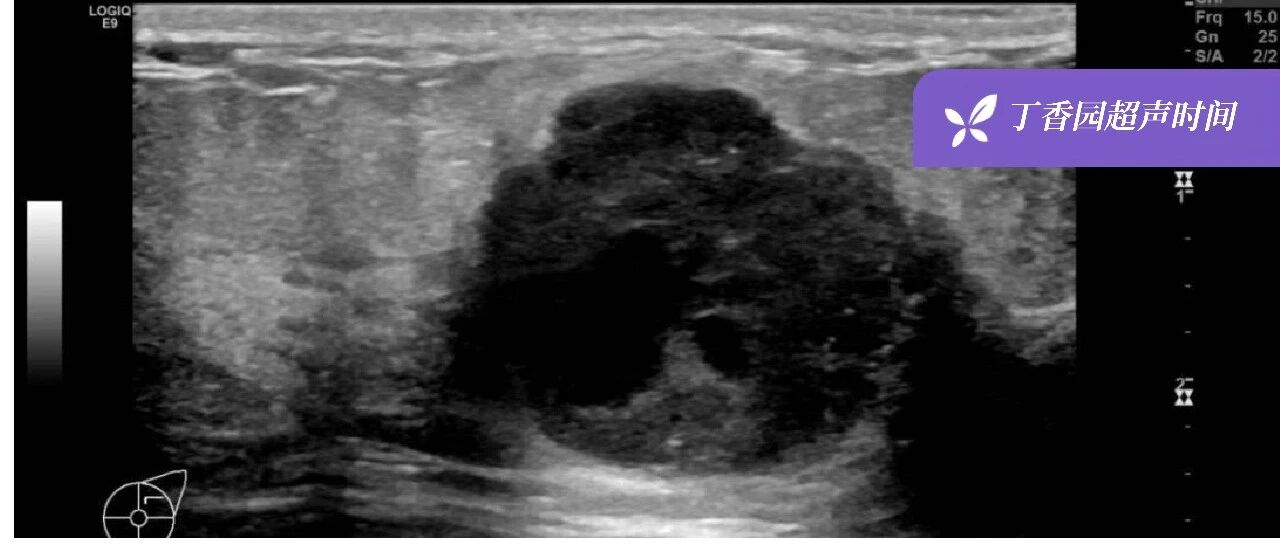
超声诊断「乳腺化生性癌」1 例
丁香园肿瘤时间  ·  公众号  · 医学  ·  2 天前  · 
从耐药破解到罕见靶点突破,马树东教授全景解读晚期肺癌治疗前沿
丁香园肿瘤时间  ·  公众号  · 医学  ·  3 天前  · 
一文详解:恶性肿瘤患者自控静脉镇痛(PCIA)的用药选择
丁香园肿瘤时间  ·  公众号  · 医学  ·  3 天前  · 
Nature Medicine 重磅:DCR 率超 80%!「最难治」胰腺癌迎来细胞疗法新突破
丁香园肿瘤时间  ·  公众号  · 医学  ·  3 天前  · 
第 5 项!「阿美替尼」国内获批新适应症
丁香园肿瘤时间  ·  公众号  · 医学  ·  4 天前  · 
输注 ADC 药物需要避光吗?52 种抗肿瘤药物输液器选择,一表总结
丁香园肿瘤时间  ·  公众号  · 医学  ·  4 天前  · 
临床常用伤口清洗技术有哪些?各用于哪些伤口?
丁香园肿瘤时间  ·  公众号  · 医学  ·  4 天前  · 
肿瘤患者突发胸痛、ST段抬高,冠脉正常?千万要查这个离子!
丁香园肿瘤时间  ·  公众号  · 医学  ·  4 天前  · 
除了 ctDNA,早期肺癌诊断的生物标志物原来还有这么多!
丁香园肿瘤时间  ·  公众号  · 医学  ·  4 天前  · 
右乳巨大肿物持续生长 27 年,内科、外科、放疗科,谁先来治疗
丁香园肿瘤时间  ·  公众号  · 医学  ·  6 天前  · 
放射性直肠损伤,便血不止怎么处理?一文掌握
丁香园肿瘤时间  ·  公众号  · 医学  ·  6 天前  · 
汪进良教授深度解读年度突破,展望 EGFR 突变肺癌「强效奠基,精准续力」的全程管理时代
丁香园肿瘤时间  ·  公众号  · 医学  ·  6 天前  · 
PFS 超 38 个月!MET-TKI 助力老年共病 MET 14 跳变晚期肺癌患者实现长生存
丁香园肿瘤时间  ·  公众号  · 医学  ·  6 天前  ·