专栏 RSS订阅(公众号)
温馨提示:订阅专栏后它将会自动更新,无人订阅的专栏有可能不会更新。
专栏 二维码
TodayRss-海外RSS稳定源
他们也喜欢这个专栏
 • 
RSS订阅
今天看啥  ›  专栏  ›  呼吸界
《呼吸界》作为中国呼吸学科垂直新媒体平台,立足于整合各级医院呼吸学科资源,逐步丰富呼吸学科权威资讯,为呼吸与危重症医学科及相关学科医生提供权威网络专科信息支持,努力建立全国呼吸学科网络医疗协作专业体系,为全行业提供新媒体互动与推广服务。
免责声明:本专栏仅为信息导航参考,不代表原文立场或观点。 原专栏内容版权归原作者所有,如您为原作者并希望删除该专栏,请通过 【版权申诉通道】联系我们处理。
开通 RSS极速订阅 可分钟级获得文章
重塑炎症控制理念——超越单一靶点的系统思维
呼吸界  ·  公众号  ·  ·  4 天前  · 
最新发布丨肺癌脑转移中国治疗指南(2026版)
呼吸界  ·  公众号  ·  ·  4 天前  · 
三个状态的血氧务必定期测!及格数值是多少?在家一招获取专业分析
呼吸界  ·  公众号  ·  ·  4 天前  · 
最新丨呼吸道合胞病毒阳性率在北方省份门急诊及住院病例中已占首位,显著高于南方!华东两省份流感仍处高流...
呼吸界  ·  公众号  ·  ·  5 天前  · 
血氧忽高忽低,是药物引起还是疾病加重?多数患者搞错了这条“时间线”!
呼吸界  ·  公众号  ·  ·  5 天前  · 
“呼吸道微生物组”在长新冠发病机制中的核心作用及其治疗潜力?免疫失调、慢性炎症与多器官损伤之间的关键...
呼吸界  ·  公众号  ·  ·  5 天前  · 
环境暴露+酗酒,患者“爆发性肺炎”、迅速出现多器官功能衰竭,背后非传统、高毒力的病原体如何浮出水面?
呼吸界  ·  公众号  ·  ·  6 天前  · 
《慢阻肺病2型炎症可治疗特质的临床实践推荐》最新发布!陈荣昌、康健、陈燕、杨汀教授等多位权威专家共同...
呼吸界  ·  公众号  ·  ·  6 天前  · 
肺大疱和肺大泡、肺气肿是一回事?切除后肺功能可恢复如初?手术效果能维持多久?
呼吸界  ·  公众号  ·  ·  6 天前  · 
血氧正常却憋喘?「隐形缺氧」更危险!数值背后藏隐患 | 周三19点看直播
呼吸界  ·  公众号  ·  ·  1 周前  · 
颈部淋巴结肉芽肿,病理提示结核样改变,真相还是陷阱?竟是这种常见于呼吸系统的意外病原所致?
呼吸界  ·  公众号  ·  ·  1 周前  · 
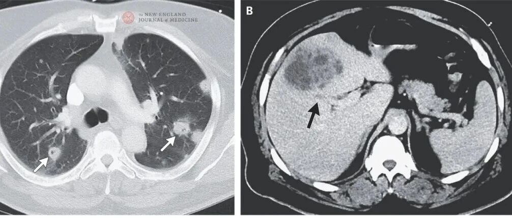
NEJM麻省总医院病例:双肺十余个空洞性结节及肿块,咳嗽发热、右眼一夜失明……致命感染因何迅速经血行...
呼吸界  ·  公众号  ·  ·  1 周前  · 
ERS 2025我来了丨病毒性脓毒症登上国际舞台:ERS首次设立专题论坛,中国学者引领新方向
呼吸界  ·  公众号  ·  ·  3 月前  ·