|
|
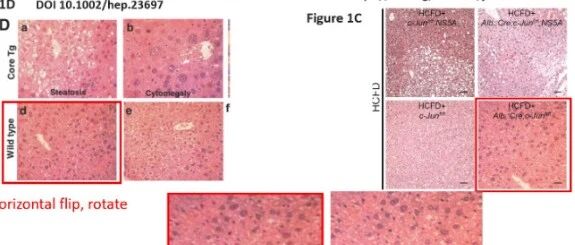
iScience论文被撤稿,作者联系期刊请求图片勘误,后续仍发现与已发表图片重复 citexs赛特新思 · 公众号 · · 2 天前 · |
|
|
学术不踩雷:iThenticate 查重 + AI 检测一站式服务 citexs赛特新思 · 公众号 · · 2 天前 · |
|
|
科研绘图,一分钟速成! citexs赛特新思 · 公众号 · · 2 天前 · |
|
|
零容忍!中纪委通报:14名985高校教师因套取科研经费被处分 citexs赛特新思 · 公众号 · · 2 天前 · |
|
|
2025国自然资助率创新低,2026年申请怎么办?有没有什么技巧可以提升基金标书内容? citexs赛特新思 · 公众号 · · 2 天前 · |
|
|
期刊那么多,我该投哪个 – 如何智能选刊? citexs赛特新思 · 公众号 · · 2 天前 · |
|
|
导师一眼爱上的科研机制图! citexs赛特新思 · 公众号 · · 3 天前 · |
|
|
citexs 学术问答全面升级,答案与文献无缝链接!研究热点与领域大牛一目了然! citexs赛特新思 · 公众号 · · 3 天前 · |
|
|
吉林大学第一第二医院论文图片严重重叠,主编紧急撤回,作者一问一个不吱声! citexs赛特新思 · 公众号 · · 3 天前 · |
|
|
招聘海报“过于露骨”,南昌大学致歉! citexs赛特新思 · 公众号 · · 3 天前 · |
|
|
审稿人大修意见不要怕,记住这些回复模版,让审稿人对你回心转意! citexs赛特新思 · 公众号 · · 3 天前 · |
|
|
文献综述撰写中的逻辑构建:从文献筛选到观点整合的关键步骤 citexs赛特新思 · 公众号 · · 3 天前 · |
|
|
为什么自己投的核心期刊屡屡被拒,这些隐藏的“潜规则”你了解吗? citexs赛特新思 · 公众号 · · 4 天前 · |
|
|
科研人福利!iThenticate 查重免费领,98% 期刊首选,错过等一年 citexs赛特新思 · 公众号 · · 4 天前 · |
|
|
第一作者or通讯作者:哪个在国自然评审中更有含金量? citexs赛特新思 · 公众号 · · 4 天前 · |
|
|
论文救星来了!赛特新思「精准降重」一键达标,学术原创性稳过审! citexs赛特新思 · 公众号 · · 4 天前 · |
|
|
浙江医科院PLOS One论文因图 3A-D 均匀灰色斑块 + 泳道重复被撤稿,作者仅部分回应 citexs赛特新思 · 公众号 · · 4 天前 · |
|
|
科研绘图神器上线!赛特新思免费领AI绘图,出图快人一步! citexs赛特新思 · 公众号 · · 4 天前 · |