专栏 RSS订阅(公众号)
温馨提示:订阅专栏后它将会自动更新,无人订阅的专栏有可能不会更新。
专栏 二维码
TodayRss-海外RSS稳定源
他们也喜欢这个专栏
 • 
RSS订阅
今天看啥  ›  专栏  ›  医世象
与10万+临床医生、患者,一起正确认识肿瘤,科学防治肿瘤。
免责声明:本专栏仅为信息导航参考,不代表原文立场或观点。 原专栏内容版权归原作者所有,如您为原作者并希望删除该专栏,请通过 【版权申诉通道】联系我们处理。
开通 RSS极速订阅 可分钟级获得文章
摒弃“粪袋口”!“支架法肠转流术”为晚期妇科肿瘤伴肠道转移的患者提供了全新的治疗选择
医世象  ·  公众号  ·  ·  4 月前  · 
这类食物富含雌激素?肿瘤患者能吃吗?
医世象  ·  公众号  ·  ·  4 月前  · 
2025 ESMO | 鹍远生物发布四项消化系统肿瘤精准检测最新进展
医世象  ·  公众号  ·  ·  4 月前  · 
秋冬时节请注意!肿瘤患者如何安全度过肿瘤复发的高危期?
医世象  ·  公众号  ·  ·  4 月前  · 
最新研究数据证实:氘可来昔替尼可有效治疗银屑病关节炎及系统性红斑狼疮
医世象  ·  公众号  ·  ·  4 月前  · 
癌细胞是如何发生转移的?
医世象  ·  公众号  ·  ·  4 月前  · 
饮食红线!化疗后,8类食物千万别碰!
医世象  ·  公众号  ·  ·  4 月前  · 
前列腺癌诊断与精准分型新策略!J. Adv. Res.:基于尿液外泌体DNA甲基化检测
医世象  ·  公众号  ·  ·  4 月前  · 
上海东方肝胆外科医院程树群教授团队:TACE联合阿替利珠单抗与贝伐珠单抗治疗中期肝癌,中位OS突破3...
医世象  ·  公众号  ·  ·  4 月前  · 
三联免疫细胞疗法,解决胰腺癌化疗不耐受难题,实现原发灶/转移灶双清零!
医世象  ·  公众号  ·  ·  4 月前  · 
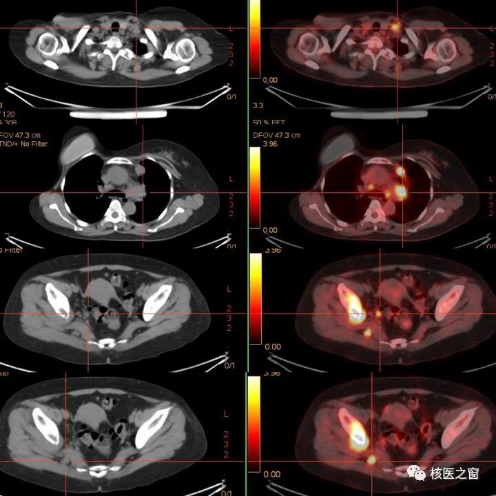
肿瘤术后,为什么还需要进行PET/CT检查?
医世象  ·  公众号  ·  ·  4 月前  · 
PET-CT辐射到底有多大?常规体检中到底要不要做?
医世象  ·  公众号  ·  ·  4 月前  ·