|
|
· 公众号 · 医学 · 4 月前 · |
|
|
· 公众号 · 医学 · 4 月前 · |
|
|
· 公众号 · 医学 · 4 月前 · |
|
|
罚单来啦!放射科因违法被罚22万元 医学影像服务中心 · 公众号 · 医学 · 1 年前 · |
|
|
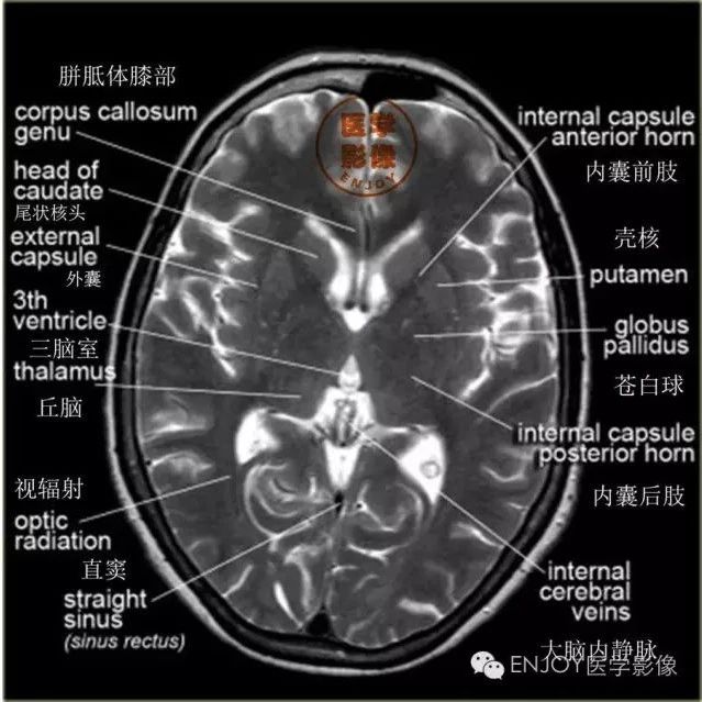
高清头颅MRI断层解剖图谱 医学影像服务中心 · 公众号 · 医学 · 1 年前 · |
|
|
寻找不那么明显的踝关节骨折 医学影像服务中心 · 公众号 · 医学 · 1 年前 · |
|
|
一个容易被忽略的椎间盘异常信号 医学影像服务中心 · 公众号 · 医学 · 1 年前 · |
|
|
影像诊断漏诊、误诊经验谈 医学影像服务中心 · 公众号 · 医学 · 1 年前 · |
|
|
中国医师节丨我是一名放射科医生 医学影像服务中心 · 公众号 · 医学 · 1 年前 · |
|
|
肺动脉-冠状动脉-主动脉CTA扫描 医学影像服务中心 · 公众号 · 医学 · 1 年前 · |
|
|
社区获得性肺炎CT诊断系列—支原体肺炎 医学影像服务中心 · 公众号 · 医学 · 1 年前 · |
|
|
放射科女医生的优势!误诊率低~~ 医学影像服务中心 · 公众号 · 医学 · 1 年前 · |
|
|
医影精品 | 肿瘤样脱髓鞘的影像回顾 医学影像服务中心 · 公众号 · 医学 · 1 年前 · |
|
|
又一专家型院长落马!省三甲院长被双开 医学影像服务中心 · 公众号 · 医学 · 1 年前 · |
|
|
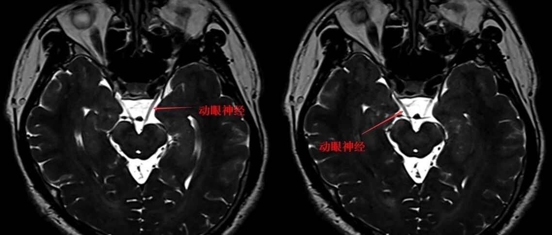
12对颅神经MRI成像 医学影像服务中心 · 公众号 · 医学 · 1 年前 · |
|
|
三甲读片 | 马凡综合征 医学影像服务中心 · 公众号 · 医学 · 1 年前 · |
|
|
膝关节“绒毛状改变”,一个少见而又如此经典的病例 医学影像服务中心 · 公众号 · 医学 · 1 年前 · |
|
|
解剖记忆小技巧01期 医学影像服务中心 · 公众号 · 医学 · 1 年前 · |